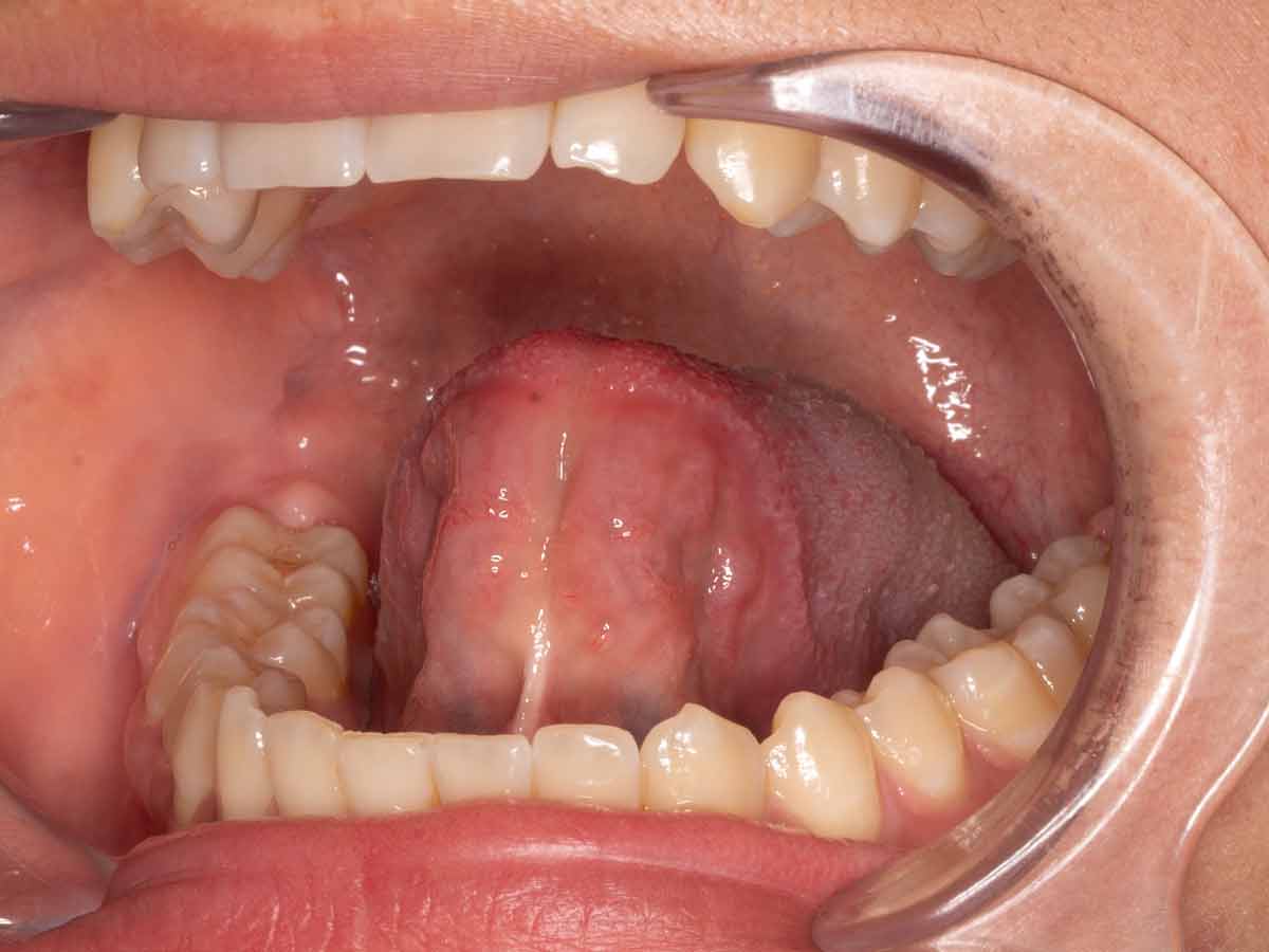
Resección de frenillo lingual con electrocirugía | Clínica Manhood Puerto Varas
Caso clínico de resección de frenillo lingual en paciente de 13 años, tratado con electrocirugía sin sutura, mínima hemorragia y liberación funcional inmediata de la lengua en Clínica Manhood Puerto Varas.
Prótesis flexible digital
Caso clínico de prótesis flexible digital orientado a recuperar función masticatoria, soporte, estabilidad y estética en paciente con pérdida dentaria parcial o total
Implante dental | Clínica Manhood
Caso clínico de implante en zona anterior orientado a reponer un diente ausente y recuperar soporte, función y armonía estética en un sector de alta exigencia.




